Mri Brain Hsv Encephalitis / Herpes Simplex Encephalitis Radiology Reference Article Radiopaedia Org : Provided cranial imaging has excluded any contraindications such as a space occupying lesion or severe cerebral oedema and brain shift, a csf.

Mri Brain Hsv Encephalitis / Herpes Simplex Encephalitis Radiology Reference Article Radiopaedia Org : Provided cranial imaging has excluded any contraindications such as a space occupying lesion or severe cerebral oedema and brain shift, a csf.. The laboratory diagnosis of autoimmune encephalitis. Encephalitis in the immunocompromised host. Contrast enhancement is uncommon during the first week of the disease. Associated with hsv encephalitis (strong evidence). Alpha coma in japanese encephalitis.

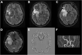
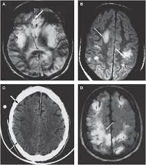
Mri is the imaging of choice in suspected cases of viral encephalitis, although ct scanning may be used where mri facilities are not available. A case of granulomatous hsv encephalitis: Hsv pcr and other infectious studies from the serum and csf were negative. Brain mri is shown in fig. Severe infection, particularly untreated herpes simplex virus (hsv) encephalitis, can cause brain hemorrhagic necrosis.

Encephalitis Causes Signs Symptoms Clinical Diagnosis
Encephalitis Causes Signs Symptoms Clinical Diagnosis from i0.wp.com
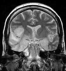
Gray matter is predominantly affected (cognitive / psychiatric signs, lethargy, seizure). Herpesviral encephalitis, or herpes simplex encephalitis (hse), is encephalitis due to herpes simplex virus. Encephalitis caused by hsv type 1 is rare but can result in significant brain damage or death. Diagnostic uncertainty and empirical management in pcr negative encephalitis. A case of granulomatous hsv encephalitis: Provided cranial imaging has excluded any contraindications such as a space occupying lesion or severe cerebral oedema and brain shift, a csf. Clinical, magnetic resonance imaging, and electroencephalographic findings in paraneoplastic limbic encephalitis. Having said that, mri with contrast is considered the most sensitive imaging modality, and findings are present in over half of individuals 8.

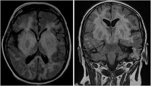
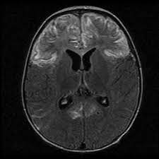
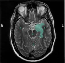
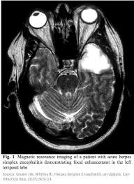
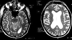
Brain mri—increased t2 signal intensity in frontotemporal region → viral (hsv) encephalitis.

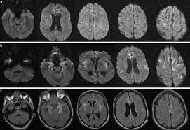
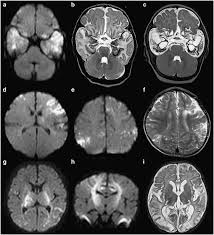
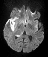
In children older than 3 months and in adults brain biopsy: Herpesviral encephalitis, or herpes simplex encephalitis (hse), is encephalitis due to herpes simplex virus. • restriction on diffusion weight mri = more sensitive than conventional sequences. Misra uk, hashmi aa, kalita j. Diagnostic uncertainty and empirical management in pcr negative encephalitis. It is a severe condition brain mri may show limbic encephalitis (55) or diffuse t2 and dwi hyperintensities in the white matter, associated with restricted diffusion (54). Herpes simplex encephalitis occurs as 2 distinct entities: Mri is the imaging of choice in suspected cases of viral encephalitis, although ct scanning may be used where mri facilities are not available. The patient had initially improved after medical treatment. Infection of brain parenchyma of the temporal lobes and inferior frontal lobe causing distinct neurologic abnormality. Dhawan a, kecskes z, jyoti r, kent al. Associated with hsv encephalitis (strong evidence). In addition, because of the involvement of the.

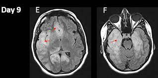
Herpes simplex virus (hsv) encephalitis hsv encephalitis (hsve) is the most common cause of infectious encephalitis (1); Initially clinical and brain mri findings were in favor of herpes simplex virus (hsv) encephalitis. The laboratory diagnosis of autoimmune encephalitis. Acute hsv encephalitis who had neuroimaging repeated within four weeks of the first scan. • occurs despite blood brain barrier with tight junctions.

Hsv Encephalitis Final
Hsv Encephalitis Final from cdn.slidesharecdn.com
The laboratory diagnosis of autoimmune encephalitis. The study analysed serially acquired magnetic resonance images (mri), of patients with acute hsv encephalitis who had neuroimaging repeated within four weeks of the first scan. Associated with hsv encephalitis (strong evidence). Its symptoms are fever, confusion, coma, and seizures. A case of granulomatous hsv encephalitis: Having said that, mri with contrast is considered the most sensitive imaging modality, and findings are present in over half of individuals 8. Severe infection, particularly untreated herpes simplex virus (hsv) encephalitis, can cause brain hemorrhagic necrosis. Herpes simplex encephalitis occurs as 2 distinct entities:

Severe infection, particularly untreated herpes simplex virus (hsv) encephalitis, can cause brain hemorrhagic necrosis.

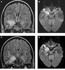
It is a severe condition brain mri may show limbic encephalitis (55) or diffuse t2 and dwi hyperintensities in the white matter, associated with restricted diffusion (54). Brain mri—increased t2 signal intensity in frontotemporal region → viral (hsv) encephalitis. Associated with hsv encephalitis (strong evidence). Provided cranial imaging has excluded any contraindications such as a space occupying lesion or severe cerebral oedema and brain shift, a csf. Having said that, mri with contrast is considered the most sensitive imaging modality, and findings are present in over half of individuals 8. In addition, because of the involvement of the. We performed volumetric measurements of the left and right temporal lobes and of cerebral oedema. Herpes simplex encephalitis occurs as 2 distinct entities: The study analysed serially acquired magnetic resonance images (mri), of patients with acute hsv encephalitis who had neuroimaging repeated within four weeks of the first scan. Pregnancy the most common cause of encephalitis in newborns is vaginal delivery from a mother who is infected with herpes simplex virus 2 (hsv 2). There is no particular age, sex, or seasonal predilection. Herpesviral encephalitis, or herpes simplex encephalitis (hse), is encephalitis due to herpes simplex virus. Severe infection, particularly untreated herpes simplex virus (hsv) encephalitis, can cause brain hemorrhagic necrosis.

• occurs despite blood brain barrier with tight junctions. Encephalitis in the immunocompromised host. Mri is the imaging of choice in suspected cases of viral encephalitis, although ct scanning may be used where mri facilities are not available. It is a severe condition brain mri may show limbic encephalitis (55) or diffuse t2 and dwi hyperintensities in the white matter, associated with restricted diffusion (54). Diagnostic uncertainty and empirical management in pcr negative encephalitis.

Herpesvirus Infections Of The Nervous System Nature Reviews Neurology
Herpesvirus Infections Of The Nervous System Nature Reviews Neurology from media.springernature.com
The patient had initially improved after medical treatment. The study analysed serially acquired magnetic resonance images (mri), of patients with. • occurs despite blood brain barrier with tight junctions. Clinical, magnetic resonance imaging, and electroencephalographic findings in paraneoplastic limbic encephalitis. Alpha coma in japanese encephalitis. Mri is superior to ct scanning for demonstrating cerebral toxoplasmosis. Hsv pcr and other infectious studies from the serum and csf were negative. Brain mri is shown in fig.

Dhawan a, kecskes z, jyoti r, kent al.

Alpha coma in japanese encephalitis. Herpes simplex encephalitis occurs as 2 distinct entities: Brain mri—increased t2 signal intensity in frontotemporal region → viral (hsv) encephalitis. A case of granulomatous hsv encephalitis: Encephalitis caused by hsv type 1 is rare but can result in significant brain damage or death. Contrast enhancement is uncommon during the first week of the disease. The study analysed serially acquired magnetic resonance images (mri), of patients with. Its symptoms are fever, confusion, coma, and seizures. Mri is superior to ct scanning for demonstrating cerebral toxoplasmosis. Brain mri is shown in fig. Having said that, mri with contrast is considered the most sensitive imaging modality, and findings are present in over half of individuals 8. Associated with hsv encephalitis (strong evidence). There is no particular age, sex, or seasonal predilection.

• occurs despite blood brain barrier with tight junctions hsv encephalitis mri. Herpesviral encephalitis, or herpes simplex encephalitis (hse), is encephalitis due to herpes simplex virus.

Comments